歯周病治療
- 微生物(細菌)因子
歯周病の直接の原因・・・歯に付いたプラークの中の細菌 - 環境因子
喫煙、不規則・不摂生な生活、過度のストレス、偏った食生活、歯磨きをしない、歯ぎしりなどの生活習慣 - 生体因子
加齢、免疫機能の低下、妊娠、糖尿病、骨粗鬆症、遺伝など - ブラッシングのチェック
- 歯ぐきのチェック
(歯周ポケットの検査・歯ぐきの炎症の有無・歯石の有無など) - 虫歯のチェック
- Q歯周病とは、どんな病気ですか?
- A歯周病とは歯と歯茎の間に細菌が入り、自覚症状のないままに進行し最後には歯が抜け落ちてしまう恐ろしい病気です。最近では全身疾患との関係も指摘されています。日頃からのブラッシングで防ぐ事もできますが。症状に応じてお近くの歯科医院で診てもらいましょう。
- Qプラークコントロールって何ですか?
- A一般にプラークコントロールとは歯や歯茎に付着したプラーク(歯垢)を抑制、除去することをいいます。つまりプラークコントロールとは歯周病予防のもっとも基本的な行為なのです。
- Q歯周病になるとどういった症状がでますか?
- Aまず、ブラッシング時に歯茎から出血が見られ、そのうち歯茎が下がりだし炎症が始まり膿みが出だし、歯もぐらつき始めます。症状が多く出始める前に歯科医院で診てもらいましょう。
- Q口臭は歯周病と関係がありますか?
- A口臭は口の中の原因が大きく関係しているため歯周病の疑いが考えられます。主な原因として歯垢や歯石挙げられます。日頃からのブラッシングで常に歯垢を除去し口の中を清潔に保ちましょう。
- Q遺伝でも歯周病なったりしますか?
- A歯周組織の抵抗力や免疫力などは遺伝に大きく関与しているため家族に歯周病の方がいたら自分も歯周病にかかる可能性は高いと思われます。歯科医院で早めに診てもらいましょう。
- Q歯周病は中高年齢人達の病気ですか?
- A一般にはそう思われていますが実状では30代前後で80%の方が発症しており、初期症状においては10代の若年齢層からにおいても50%もの方にも見受けられます。若い頃から歯周病予防を行いましょう。
- Qどのような人が歯周病にかかりやすいですか?
- A勿論、歯ブラシを行わなければかかります。あとは普段から柔らかい物ばかり食べていたり偏食が多かったりといった食生活や、睡眠不足、ストレスなどでも体の免疫力を低下させ歯周病にかかりやすくなります。食生活はもちろん生活習慣も規則正しく過ごす事が予防に繋がります。
- Q歯周病はうつったりもするのですか?
- A歯周病は歯茎に細菌が感染する病気なのでキスなどでうつってしまうことは十分にありえます。自分にとって大切な人に病気をうつさない為にもしっかりと歯周病予防を心がけましょう。赤ちゃんへの感染もありますので、冷ますために「ふーふー」するのは止めましょう。
- Q歯周病は他の病気とも関係がありますか?
- A歯周病は他の病気とも密接に関係しており、免疫力の低下で"糖尿病"や血液中に菌が入り込み"心臓疾患"になりうる恐れがあります。歯周病は歯だけの病気だと思わず全身の病気として手遅れになる前の治療を心がけてください。
- Q歯周病の対処法を教えてください。
- A日常でのプラークコントロール(主にブラッシングなど)を徹底して、偏りのない規則正しい食生活。生活習慣をおくっていれば、それが対処法になっていきます。また何でもなくても定期検診に行き、歯の状態を確認することも重要です。
- Qブラッシングの仕方ってありますか?
- Aブラッシングも効率の良い磨き方でないと歯垢を落とせず、また、歯や歯茎を傷つけてしまい結果歯周病が悪化してしまうことになります。効率の良い磨き方を身につけ効率よく歯垢を落としましょう。ブラッシング法などはお近くの歯科医院で相談してみると良いでしょう。
- Q歯ブラシは普通の電動歯ブラシではどちらがいいの?
- Aどちらでも問題ありません。要するにブラシの毛先が歯に当たっているか当たっていないかが重要ですので、問題は毛先の当て方、ブラッシングの仕方なのです。大切なのはブラッシング法を身につける事なのです。
- Q歯科医院ではどんな治療をするのですか?
- A始めに歯周病の検査をして治療計画を立てます。その計画に基づいてスケーリング・ルートプレーニングといった歯石除去と歯の滑沢にし、経過を診ていきます。場合によって外科手術も行われます。
- Q手術ってどんな内容ですか?
- Aいくつか種類がありますが主に再生療法と呼ばれる手術でエムドゲインやGTR法が挙げられます。内容は失ってしまった歯周組織を再生させるため治療患部に組織再生用のタンパク質や人工膜を添付し組織を再生させるのが目的です。詳しくはお近くの歯科医院にて確認してください。
- Qもし歯周病で歯が抜けてしまったら?
- A入れ歯やブリッジなどによって抜けた部分を補えますが、噛みづらさや他の歯への負担を考えるとインプラント治療をおすすめします。インプラントとは抜けた箇所に人工の歯根を埋め込みその上に人工の歯を取り付ける治療法です。人工の歯根が顎の骨に直接刺激を与えるため歯茎が痩せることもなく実際に自分の歯で噛んでいる感触が実感できます。詳しくはお近くの歯科医院にてご相談ください。
- Q健康保険で治療は可能ですか?
- A基本的な治療に関しては健康保険で治療が可能ですが特殊な外科手術等は実費負担になることがあります。
- Q定期検診はどのくらいの頻度で通えばいいのですか?
- A年に3~4回の定期検診をお勧めします。歯周外科手術を行なった人は毎月のようにいらっしゃる人もいます。歯科医院へは"歯が痛くなったり、詰め物が外れたら行く"というのではなく、何でもない時でも足を運んで下さい。定期的な検診で歯石を除去しブラッシングの指導を受け歯周病のない快適な生活を手に入れてください。
歯周病は、口の中の病気と考えがちですが、実はそうではありません。
頭のてっぺんから爪先まで体の全身と深い関係が明らかになってきました。時には死に至ることもあると言われています。
歯は歯ぐきと呼ばれている歯肉・歯槽骨・セメント質・そして歯根膜の4つで構成される歯周組織で支えられています。
歯周病とは、この歯周組織に起こる炎症や病気全体のことを指します。歯肉の炎症を歯肉炎といい、さらに炎症が進んで歯肉より深い部分で骨に影響を及ぼすものを歯周炎と言います。
歯周病と全身の病気との関係
口の病気である歯周病と全身の病気との関係について記します。
歯のケアを怠ると体の他の部分に様々なそれも深刻な病気が起こる事が明らかになっています。例えば歯周病や口の中の感染症は糖尿病や心臓血管病、肺の感染症そして早産などと関係しています。これらの病気はみな深刻なもので時には死に至るものもあります。日本人の成人の8割が歯周病や歯ぐきの病気にかかっている事が明らかになっています。
しかし歯周病は、多くの人が大した病気ではないと考えています。歯周病が皆さんの健康にとってどれほど危険かを説明します。
歯周病と肺炎 歯周病と骨粗鬆症 歯周病と糖尿病 歯周病と心筋梗塞 歯周病と喫煙 歯周病と早産(低体重児出産) 歯周病とメタボリックシンドローム 歯周病と心内膜炎 歯周病とがん
歯周病の原因
歯周病の原因、それは口の中の細菌です。では歯周病菌とは何なのでしょうか?
口の中には300~500種類の細菌が住みついています。その中で歯周病を引き起こすような細菌は限られています。
一口に歯周病菌といってもそれは一つの細菌ではありません。歯周病菌は何種類もあるのです。これらの細菌は嫌気性菌と言われ空気との接触を嫌う菌です。口の中が不潔の状態になると歯の周りにこれらの細菌が集まり、細菌の巣を作ります。この細菌の巣をプラークと言います。
歯周病菌は歯の周りでしか生存できません。そのため歯の周りに縄張りを作りたがり、そして束になって数を増やそうとします。
歯周病菌は細胞膜そのものに毒を持っています。その毒素を内毒素といいます。
歯周ポケットに住みついている細菌はすべて、内毒素という毒素を持っています。この毒素は歯周病菌が構成されている成分そのものです。
菌体が死んでも壊れても、その内毒素の毒性は変わることはないのです。むしろ細菌が壊れてると内毒素は小さくなってさらに歯周ポケットの中から私達の体の中に入り込みやすくなります。
そしてその内毒素(エンドトキシン)は歯を支える歯槽骨を溶かし、歯がグラグラしたり、歯肉が下がったり、最終的には歯が抜け落ちたりする原因となります。さらに私達の体の免疫を介していろいろな障害に関わってきます。
日本人は、歯周病の患者さんが多いと言われています。
歯科疾患実態調査の結果から見ますと、全体から見ますと7割の人が罹患していますが、特に35歳から64歳未満の年齢層では8割の人が罹患しています。
歯周病は歯が抜ける最大の原因ですが、全身に影響を及ぼす可能性があります。この歯周病は体のイエローカードと言われています。
どうして歯周病にかかってしまうのか?
歯周病の3つの因子
歯周病のチェック
当てはまるものに(Check)してみましょう!
当てはまるものはありませんか?
もし、1つ以上当てはまった方は歯周病の疑いがあります。まずは歯科医院に相談しましょう。
歯周病の治療法
歯垢(プラーク)や歯石を取り除き、歯ぐきの炎症を抑えるための処置です。
毎日の適切なブラッシング
具体的には、適切なブラッシングを毎日行ってもらいます。
歯ブラシを当てる角度に気を付け、均等に磨くのではなく磨きづらい所(奥歯や歯が重なっている所)を意識的に回数多く、磨いて下さい。
炎症がある歯ぐきは適切なブラッシングをすると通常出血しますが、続けてもらいます。
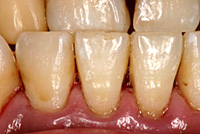
歯と歯ぐきの間の汚れを除去できません |
歯と歯ぐきの間の汚れを除去し、清潔な状態にできます |
歯科医院での歯石除去
歯科医院に通い歯石を取ってもらいます。
歯石には、よく見える部位に付いている物(歯肉縁上歯石)、歯ぐきの中に付いている物(歯肉縁下歯石)があります。
後者の歯石を取る時は麻酔が必要なことが多いです。歯周外科処置を行うこともあります。
これらの治療で、ほとんどの歯周病は改善していきます。(これ以外の治療が必要なこともあります)
改善した歯は、歯ぐきが引き締まり歯の根の部分が露出し、歯が長くなり冷たい物が凍みることがあります。
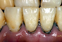
歯石除去前 |
歯石除去後 |
その後、歯が一本ずつではグラついてしまったり、弱かったりする場合には周りの歯とつなぎ固定することもあります。
6本の歯を連結して作ります |
上の前歯6本を装着したところです |
定期検診で再発防止
歯周病の治療で一番大切なのは、安定化した後の定期検診です。
慢性疾患である歯周病は定期検診を続けないとほとんどの人達が再発してしまいます。
歯周組織再生も可能に
歯周病は歯周炎の段階に進むと完治を望めない病気でした。一度失われた歯周組織を取り戻すことは不可能だったからです。
ただ最近は、歯根膜に残っている幹細胞を使った歯周組織再生療法が開発され、効果を発揮するようになっています。
しかし歯周病で最も大切なのは予防です。その基本はバイオフィルムコントロールです。
まず歯をきちんと磨いて口の中を清潔に保つことです。狭い歯間を掃除するデンタルフロスや歯間ブラシ、洗口液を併用するのも効果的です。
自分で100%解決するのは難しいので、歯科医院を定期的に受診し、自分では取りきれないプラークを除去してもらうと効果はさらに高まります。
定期検診のご案内
を行います。
実際に歯ブラシ・歯間ブラシを使ってブラッシングを行います。
歯垢(プラーク)を取り除いた後、歯石・色素を除去します。
定期検診の時間と費用
時間はおおよそ15~30分です。
定期検診は3〜4ヶ月おきに行われ、保険適応3割負担の方で2000~3000円程度です。(残存歯数や義歯の有無で変わります。また保険は随時見直しされていますので、負担額が変わる事があります。)
処置後にフッ素塗布を行う事は効果的です。歯に浸透しやすく歯の強化につながります。
歯周病Q&A
歯と歯ぐきの間の汚れを除去できません
歯と歯ぐきの間の汚れを除去し、清潔な状態にできます
歯石除去前
歯石除去後
6本の歯を連結して作ります
上の前歯6本を装着したところです