予防歯科
- ブラッシングのチェック
- 歯ぐきのチェック
(歯周ポケットの検査・歯ぐきの炎症の有無・歯石の有無など) - 虫歯のチェック
予防についての考え方
ムシ歯予防は、お母さんのお腹の中にいる妊娠3ヶ月からはじまっています。
妊娠中は、バランスの悪い食事が胎児の歯の形成に影響し、またお母さん自身の口の中の状態も重要です。
ホルモンバランスが変化したり、食事の回数が増えたり、歯ブラシがしずらかったりと歯周病(歯槽膿漏:しそうのうろう)になりやすくなっています。
赤ちゃんの口の中は、生まれた時は無菌的な状態です
赤ちゃんを寝かすために哺乳ビンをくわえたまま眠らせる事は絶対にやめてください。
いわゆる『哺乳ビンう蝕』と呼ばれる前歯のムシ歯になってしまいます。
生後19~36ヶ月(1歳半くらい~3歳くらい)の間は、ムシ歯菌に感染してしまう可能性が非常に高いです。
この間に、お母さんがキシリトールガムをかむ事は有効といわれています。
「フーフー」は出来る限りさけて下さい
口で砕いてから柔らかくして物を与える事や熱いものを冷やすためにフーフーしたりする事は出来る限りさけて下さい。
お母さんの口の中にいるバイ菌が抵抗力の弱い赤ちゃんに移動してしまうことがあるからです。
母乳を与えるときに手指を消毒するように、赤ちゃんに接する時は良く歯磨きをしてお母さんの口の中も清潔にしてから接してあげてください。
お子様のむし歯について
6歳前後になると乳歯から永久歯へ生え変わり始めます。
最初は、一番前の歯か、一番奥の歯(6歳臼歯)です。生えたての永久歯は溝が深く柔らかい(幼若永久歯)ため、非常にムシ歯になりやすいです。
定期検診を行うと同時に予防充填(薬をつけて溝を浅くする:シーラント)やフッ素塗布を行うことがとても有効です。
12歳頃になると歯が生えそろってきます。
日本の子供達の虫歯数はかなり多いです。
| 12歳児の虫歯数(本) | フッ素入歯磨剤(%) | 砂糖摂取量(kg/Y) | |
| フィンランド | 1.2 | 99 | 42 |
| デンマーク | 1.6 | 98 | 50 |
| オランダ | 1.7 | 90 | 54 |
| アメリカ | 1.8 | 95 | 36 |
| スイス | 2.3 | 100 | 46 |
| スウェーデン | 2.4 | 95 | 44 |
| タイ | 2.7 | 92 | 12 |
| オーストラリア | 2.8 | 99 | 52 |
| イギリス | 2.9 | 98 | 45 |
| ポーランド | 4.2 | 25 | 42 |
| 日本 | 4.9 | 40 | 26 |
| ハンガリー | 5.5 | 60 | 52 |
WHO(世界保健機構)では12歳時の虫歯数3.0本以内を目標に活動しています。日本は世界の中で下位という結果でした。そのためWHOより勧告が出され、分析の結果フッ素使用状況が低いためだということがわかりました。
成人になると、ムシ歯の予防に加えて歯周病(歯槽膿漏:しそうのうろう)の予防も必要となります。人間は20歳をピークに抵抗力がどうしても減ってしまいます。すると、バイ菌数と抵抗力(免疫力)のバランスが崩れてしまうのです。今まで大丈夫だったからこれからも大丈夫ではなく、これからはより一層注意をしなくてはならないという気持ちが必要になります。
30歳を過ぎると、歯の噛む面に集中していたムシ歯よりも、歯と歯の間や歯と歯ぐきの間の虫歯が圧倒的に増加します。
歯石はもちろんつかないように努力するのは当たり前ですが、ある程度は歯科医院でとってもらうものだと考えてください。完全に歯石がたまらないように歯ブラシをしつづけるのは大変難しいのです。ですから定期検診は非常に重要なのです。
歯のクリーニング(P.M.T.C)

P(professional)M(mechanical)T(tooth)C(cleaning)=プロによる歯の集中ケア
毎日の歯磨きをしていても、少しずつ汚れはたまっていくものです。
日々のブラッシングではとれない汚れを、専門的技術との専用ツールを用いて完全に除去するというプロによる歯の集中ケアです。
虫歯や歯周病の予防にも効果的です。
また、歯の表面がツルツルになるので、汚れがつきにくくなるという大きなメリットがあります。
歯ブラシ |
デンタルフロス |
歯間ブラシ |
研磨剤フッ素入りのペーストで汚れを落とすとともに、再石灰化を促す効果があります。 |
ブラシ・カップブラシで歯の表面を、チップで歯肉のポケット内の研磨をします。 |
フッ素フッ素の力で、歯の表面に膜を作り細菌や酸から歯を守ります。 |
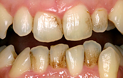
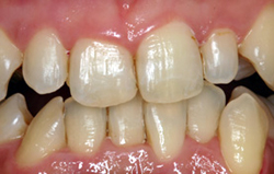
色素除去
色素除去前 |
色素除去後 |
定期検診のご案内
を行います。
実際に歯ブラシ・歯間ブラシを使ってブラッシングを行います。
歯垢(プラーク)を取り除いた後、歯石・色素を除去します。
定期検診の時間と費用
時間はおおよそ15~30分です。
定期検診は3〜4ヶ月おきに行われ、保険適応3割負担の方で2000~3000円程度です。(残存歯数や義歯の有無で変わります。また保険は随時見直しされていますので、負担額が変わる事があります。)
処置後にフッ素塗布を行う事は効果的です。歯に浸透しやすく歯の強化につながります。
歯ブラシ
デンタルフロス
歯間ブラシ
研磨剤
ブラシ・カップ
フッ素
色素除去前
色素除去後